Skip to main content

Humanizing Brain Tumors: Strategies for You and Your Physician: Humanizing Brain Tumors: Strategies for You and Your Physician

Humanizing Brain Tumors: Strategies for You and Your Physician
Humanizing Brain Tumors: Strategies for You and Your Physician
  • Show the following:

    Annotations
    Resources
  • Adjust appearance:

    Font
    Font style
    Color Scheme
    Light
    Dark
    Annotation contrast
    Low
    High
    Margins
  • Search within:
    • Notifications
    • Privacy
  • Project HomeHumanizing Brain Tumors
  • Projects
  • Learn more about Manifold

Notes

table of contents
  1. Cover Page
  2. Halftitle Page
  3. Title Page
  4. Copyright Page
  5. Dedication
  6. Contents
  7. Preface
  8. Chapter 1: Frontal Lobe: The Man Who Lost the Will to Work
  9. Chapter 2: Left Temporal Lobe: The Man Who Found Creativity
  10. Chapter 3: Right Temporal Lobe: The Woman Who Could Not Quench Her Thirst
  11. Chapter 4: Foramen Magnum and High Cervical Cord: The Woman with Rotating Paralysis
  12. Chapter 5: Brain Stem: The Nurse Who Started Having Double Vision and Headaches
  13. Chapter 6: Cerebellum: The Woman with Pigmented Lesions and Worsening Balance
  14. Chapter 7: Pituitary and Stalk: Visual Loss and Hormonal Alteration in a Young Transgender Woman
  15. Chapter 8: Tumor Afecting Hearing: Trials and Tribulations
  16. Chapter 9: Hypothalamus and Third Ventricle: The Woman Who Lost the Ability to Play Sudoku
  17. Compendium
  18. Glossary
  19. Biographies
  20. Acknowledgements

CHAPTER 2

LEFT TEMPORAL LOBE

The Man Who Found Creativity

ABIGAIL KOEHLER, BS
ROHAN RAO, BS
YANA TOMASSIAN
ABDELKADER MAHAMMEDI
, MD
SOMA SENGUPTA, MD, PHD, FRCP

The brain consists of four major lobes, known as the frontal, occipital, parietal, and temporal lobes. Each holds its very own distinct function and can be further categorized by which side of the brain it is located—right or left. Of the four, the temporal lobe is in closest proximity to the ears and contains the primary auditory cortex, which acts as the first stop for auditory information that is being processed by the brain.1 In addition to hearing, the temporal lobe is responsible for visual processing, object recognition, and navigation abilities as it contains both the fusiform face area and parahippocampal place area.2,3 These areas are responsible for recognizing faces and encoding information obtained from the visible environment, forming spatial memory.4,5 As such, the temporal lobe is extremely important in terms of visual processing.

Wernicke’s area is also located in the temporal lobe. It is responsible for language development, including forming and comprehending verbal speech and language.6 Specifically, the left temporal lobe is known for memory, speech, and behavior in comparison to the right temporal lobe. It is believed to play a role in behavior due to its ability to process emotion.7 Most people are dominant in the left temporal lobe. Patients with damage to the nondominant right temporal lobe would begin to recognize side effects with learning; however, any trauma to the left temporal lobe could disrupt any of the essential operations discussed above.8 Columbus’s story is of a 55-year-old veteran who served during Operation Desert Storm. He developed significant spatial and speech challenges due to a glioblastoma discovered in his left temporal lobe. This is his story.

Columbus was known by his family, friends, and colleagues for his staunch dedication to military service and his meticulous work ethic. He was deployed to the Gulf War as a member of the Army National Guard, working to purify 100,000 gallons of water each day during Operation Desert Storm. His commitment to serving his country continued after his return. He joined an Air National Guard civil engineering squadron in Georgia that worked on humanitarian eforts like the redevelopment of a crumbling senior center in Armenia. However, it was during an extended assignment at the Pentagon in 2017 that Columbus first noticed something was wrong. After a long day, he began searching for his rental car in the parking lot. This simple task took him almost an hour. He finally called a coworker who informed him that the car was right in front of him. He jumped into the driver’s seat only to find that he had no recollection of the hotel where he had been staying for nearly three weeks. Things only got worse when he got back from Washington D.C.; feelings of disorientation and an inability to recognize familiar places increased. He wondered why his memory and sense of navigation were declining. He decided to pay a visit to the doctor.

Columbus was slated to deploy in early 2018, but his military physician, assuming that his “brain fog” and correlating high blood sugar levels were due to diabetes mellitus, sidelined him in November of 2017. With a diabetes diagnosis and advice to cut carbohydrates in hand, Columbus kept working, but his struggles with short-term memory continued for months. By May of 2018, his symptoms had hit a critical level. Though he became adept at compensating for his increasing cognitive losses, his colleagues began to notice abnormalities in his written correspondence. He seemed to be having difficulty understanding language. Though this shift in communication may have been imperceptible to a stranger, it was obvious to his commander, who was accustomed to his meticulous approach to work.

Something was especially amiss on an ordinary May afternoon in 2018, prompting his commander to walk him straight to the doctor herself: a move that saved his life. On May 31, Columbus’s physician received brain imaging that revealed the Grade IV glioblastoma multiforme (GBM) within Columbus’s left temporal lobe and immediately arranged to have him travel two hours north to an Atlanta hospital via military escort. Of all the classifications of gliomas, World Health Organization (WHO) Grade IV is the most malignant, the most aggressive, and the most infiltrative; spreading the fastest into other areas of the brain, though it is very rare that the spread of this type of glioma extends outside of the brain. Additionally, as with Columbus, the GBM was classified as isocitrate dehydrogenase wildtype (IDH WT), which is far more aggressive that the alternative IDH-mutant. Columbus’s case was so severe that Dr. Nelson Oyesiku, a neurosurgeon at Atlanta’s Emory University Hospital, delayed his travel plans to perform a six-hour gross total resection surgery of the tumor within hours of Columbus’s arrival at the hospital.

After the initial resection surgery, Columbus enrolled in a clinical trial at the Winship Cancer Institute at Emory in Atlanta with the help of Dr. Soma Sengupta. This trial tested the effects of the chemotherapeutic drug, belinostat, in combination with radiation and traditional chemotherapy. Belinostat is an intravenously (IV) administered histone deacetylase (HDAC) inhibitor and anti-cancer agent. It functions by blocking the HDAC enzymes, preventing histone proteins from playing their role in gene regulation, thus interfering with the genetic makeup of the cancer cells and ultimately leading to cell death. Upon the completion of his radiation therapy, he was given cycles of the alkylating agent Temodar, another antineoplastic chemotherapy treatment, along with the Optune® device, which he was prescribed to use for 18 hours each day. The Optune® device is both wearable and portable, consisting of transducer arrays that adhere to the skull and an electric field generator that Columbus carried in a backpack throughout the day. The device resembles a thin white cap. The Optune® device functions by delivering tumor treating fields (TTFs) via ceramic discs within the transducer arrays which stick directly onto the scalp. These low intensity, alternating electrical fields work not only to slow but oftentimes to stop the growth and division of GBM cells by sending signals into the brain to “confuse” the cancer. The Optune® device helps to increase the lifespan of its users, like Columbus, for whom it was successful in attaining such results. For many months, he was showing consistent compliance with this treatment, ensuring that he used it exactly as recommended to reap the greatest possible benefit from it.

Throughout the initial portion of the year immediately after the removal of the GBM from his left temporal lobe, Columbus was asymptomatic and independent in many of his regular day-to-day activities. This granted him the freedom to pursue his lifelong aspiration of becoming an artist. He had shied away from this dream when he was young, deciding instead to serve his country by joining the Army National Guard, and later the Air National Guard, where he served for a collective 30 years. He also continued his work in the private sector as an architectural illustrator.

The cancer diagnosis only fueled his zest for life and creativity; his passion for art was revitalized. Inspired by Leonardo da Vinci, he had always painted portraits and landscapes of notable places and people, such as those he had encountered while serving in Operation Desert Storm. However, through his new lens on life, he began to construct large-scale mixed media work, even incorporating recyclable parts of his Optune® device.

Unfortunately, an MRI scan in October of 2019 revealed worrisome imaging of potential local progression of the tumor (Fig. 2.1–2.3). In addition to this troubling discovery, abnormalities in Columbus’s neuro-cognitive capacity, such as issues with his memory and word-finding capabilities, were gradually becoming more pronounced. This word-finding difficulty showcased itself through his inability to retrieve words for use in regular speech, despite his retention of the ability to understand the English language. To treat these new symptoms, Columbus was put on the steroid dexamethasone.

(Left) Two light gray colored blobs are surrounded by varying dark gray structures. These white blobs have gray spots on them. The first is located in the center of the image and is highlighted by a yellow circle. The other is located towards the right of the image and is highlighted by four small yellow arrows. (Right) A white ribbon-like figure is shown towards the right of the image. It is surrounded by variations of gray color enclosed by a black and white outline.
FIGURE 2.1 Brain MRI before surgery. Axial (left) and coronal (right) post-contrast images show a large mass that appears bright after being injected with IV contrast within the posterior and anterior aspect of the left temporal lobe (yellow arrows and circle), most consistent with high-grade glioma.
Variations of gray color are enclosed by a white outline. In the center of the image, there is a very small white blob highlighted by a red circle. In the top right of the image, there is a white colored blob highlighted by a yellow circle. (Right) Gray colored variations are enclosed by a black and white outline. To the right of the image, there is a significantly large white blob highlighted by a yellow oval.
FIGURE 2.2 Brain MRI before surgery. Additional nodular areas of abnormal enhancement that appear bright after being injected with IV contrast are noted in the anterior temporal lobe (yellow circle) and the left aspect of the midbrain (red circle). There is surrounding signal alteration on the MRI sequence image most consistent with swelling (yellow oval).
Dark blue, green, light blue, orange, red, and yellow colors are scattered within a blue boarder. Three white arrows point to a green blob on the right side of the image that has two sickled ovals that are red, orange, and yellow in color.
FIGURE 2.3 Brain MRI before surgery. Further exploration with advanced perfusion MRI demonstrates that this mass contains areas of moderately increased cerebral blood volume (CBV) (white arrow) suggestive of a tumor.

On February 25, 2020, Columbus underwent his second resection at the Dana Farber National Cancer Institute in Boston. Within two months of this procedure, the postoperative site had healed, and he began a combination of the Optune® device and Keytruda immunotherapy. The Keytruda treatment differed significantly in its mechanism from the traditional chemotherapy and radiation therapy that he had been prescribed prior. Keytruda works congruently with the immune system, specifically acting on the system’s PD-1/PD-L1 inhibitory pathway to aid the body in fighting cancer. When functioning normally, the immune system uses T-cells, which act in detecting and removing abnormal cells from the body. Cancerous cells outwit this system by utilizing the PD-1/PD-L1 pathway, which allows them to hide from the T-cells and avoid being destroyed. Keytruda’s mechanism is to block this PD-1/PD-L1 pathway, allowing the T-cells to once more regain the ability to do their job, ultimately terminating the cancer cells.

(Left) Gray colored variations are enclosed by black and white outlines. To the right of the center of the image, there is a white blob with gray variations highlighted by four yellow arrows on the left side of the blob. (Right) Gray variations are enclosed by black and white outlines. There is a white blob with variations of gray surrounding it on the right side of the image. This blob is highlighted by three yellow arrows.
FIGURE 2.4 Brain MRI after surgery. Imaging shows post-treatment and post-operative changes from resection of the left temporal tumor. There are patchy and irregular areas of abnormal enhancement within the medial margin of the surgical cavity that appear bright after being injected with IV contrast (yellow arrows), uncertain for residual tumor versus post-treatment changes.
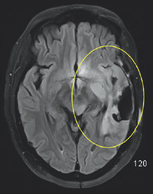
(Left) A variation of gray colored structures are surrounded by a black and white outline. On the top right of the image, there is a small white blob highlighted by a yellow circle. (Right) A variation of gray colored structures are surrounded by a large black and white outline. There is a small white blob in the center of the image highlighted by a red circle. There are two additional gray blobs with white coloration on them highlighted by two yellow arrows on the right side of the image.
FIGURE 2.5 Brain MRI after surgery. Imaging shows post-treatment and post-operative changes from resection of the left temporal tumor. There is interval decreased abnormal patchy enhancement within the medial left temporal lobe (yellow circle) and stable tiny enhancing lesion within the left aspect of the midbrain (red circle), which are also uncertain for residual tumor versus post-treatment changes.
White and light gray color variations are enclosed by a black and dark gray outline. There is significant white coloration on the right side of the image which is highlighted by a yellow oval.
FIGURE 2.6 Brain MRI after surgery. There is surrounding signal alteration on the MRI sequence image similar to the MRI before the surgery, which is nonspecific but likely represents swelling (yellow oval).

Initially, after the treatment, there was no obvious progression in his symptoms, but by mid-May of that same year, there was a dramatic decline in his condition (Fig. 2.4–2.7). Several concerning transient symptoms appeared, including confusion, lethargy, and significant memory loss, which impacted his compliance with his treatments and caused him to sometimes forget his regimen.

Columbus’s journey to recovery had been long, convoluted, and arduous, but he did not allow his challenges to break his stride. Following his initial resection surgery, he had to relearn simple tactile skills such as holding a pencil, writing, and drawing, and still, his optimistic demeanor persisted. Since the discovery of his GBM, after which he was told he had nine to 14 months to live, his family noticed very positive changes in his overall attitude toward life and a reinvigoration in his passion for art. As a young man (Fig. 2.8), his laser focus on his career and service had drawn him away from prioritizing such self-expression. However, after his cancer diagnosis, his military friends and colleagues helped him build an art studio, where he was able to use his talent to create abstract art. He continued to paint, despite developing chronic visual abnormalities that inhibited his ability to drive.

(Left) Dark blue, gray, green, light blue, orange, red, and yellow colors are scattered within a black boarder. A white arrow points to a small light blue blob on the right side of the image. (Right) Dark blue, gray, green, light blue, orange, red, and yellow colors are scattered within a black boarder. A white arrow points to a small red blob on the right side of the image.
FIGURE 2.7 Brain MRI after surgery. Further exploration with advanced perfusion MRI shows a small focus of slightly increased cerebral blood volume (white arrow) which suggests that the majority of the abnormal enhancement is related to post-treatment changes with a small focus of residual tumor.

Despite his constant battle with brain cancer, Columbus sustained his role as a dedicated father and devoted husband to his wife, Val, who was integral to his treatment and recovery journey. Columbus and Val, along with his physicians, decided to complement his use of Optune® and Keytruda with the chemotherapy drug Avastin in hopes to target the cancer cells more directly. Generically known as bevacizumab, Avastin functions in an anti-angiogenic manner, blocking the vascular endothelial growth factor protein (VEGF), preventing blood vessels from reaching and feeding the tumor. This ultimately results in starving the tumor and inhibiting its growth. Columbus continued with this combination for approximately six months. However, as 2020 came to a close, Columbus’s GBM had a fibroblast growth factor receptor (FGFR) mutation. After discussing the strategy with Dr. Sengupta, Columbus’s oncologist at Emory, Dr. Steven Szabo, decided to put him on Balversa. Columbus continued his treatments until March of 2021, when he passed away, still optimistic, kind, and grateful for the lessons of his journey until the very end. His legacy carries on through his wife, children, and scores of friends who dearly miss him. The Healing Arts Program at The Hudgens Center for Art and Learning in Duluth, Georgia, where Columbus had his first solo exhibition in 2019, will be named in his honor.

The left side profile of a man's head is translucent with a pink brain. The temporal area is purple in color with a large orange and yellow colored blob in the center of it. The brain stem and hindbrain are shown as well. (Right) A man is painting with green paint on his paintbrush and pallet on canvas. He is wearing a navy backpack with white and gray colored cords attached to light gray colored adhesives on his bald head. The man is wearing a cross necklace with a navy t-shirt and jeans.
FIGURE 2.8 Columbus was diagnosed with a Glioblastoma multiforme (GBM) in the left temporal lobe of his brain. As part of his treatment, he wore an Optune device that delivers electric fields to the tumor site and interrupts cell division. Columbus had a passion for art and created many abstract pieces.
Artist work of a brain, painted yellow and surrounding by paint strokes of blue and red. Surrouding the paiting are red chemotherapy vials.
Untitled, Mixed Media Work on Wooden Canvas
(Acrylic, Broadcloth & Chemotherapy Vials)
by Columbus Cook
from the Collection of Columbus Cook Holdings

ENDNOTES

1. Dale Purves et al., Neuroscience, 2nd ed. (Sunderland, MA: Sinauer Associates, 2001), https://www.ncbi.nlm.nih.gov/books/NBK10900/.

2. Jeffery R. Binder et al., “Temporal Lobe Regions Essential for Reserved Picture Naming after Left Temporal Epilepsy Surgery,” Epilepsia 61, no. 9 (September 2020): 1939–48. https://doi.org/10.1111/epi.16643.

3. Anand Patel, Grace Marie Nicole R. Biso, and James B. Fowler, “Neuroanatomy, Temporal Lobe,” in StatPearls (Treasure Island, FL: StatPearls Publishing, 2021), http://www.ncbi.nlm.nih.gov/books/NBK519512/.

4. Jeffery R. Binder et al., “Temporal Lobe Regions Essential for Reserved Picture Naming after Left Temporal Epilepsy Surgery.”

5. Anand Patel, Grace Marie Nicole R. Biso, and James B. Fowler, “Neuroanatomy, Temporal Lobe.”

6. Jeffery R. Binder et al., “Temporal Lobe Regions Essential for Reserved Picture Naming after Left Temporal Epilepsy Surgery.”

7. Ibid.

8. “Brain Map: Temporal Lobes,” Queensland Health, Queensland Government, January 22, 2021. https://www.health.qld.gov.au/abios/asp/btemporal_lobes.

REFERENCES

Binder, Jeffrey R., Jia-Qing Tong, Sara B. Pillay, Lisa L. Conant, Colin J. Humphries, Manoj Raghavan, Wade M. Mueller, Robyn M. Busch, Linda Allen, William L. Gross, Christopher T. Anderson, Chad E. Carlson, Mark J. Lowe, John T. Langfitt, Madalina E. Tivarus, Daniel L. Drane, David W. Loring, Monica Jacobs, Victoria L. Morgan, Jane B. Allendorfer, Jerzy P. Szaflarski, Leonardo Bonilh, Susan Bookheimer, Thomas Grabowski, Jennifer Vannest, and Sara J. Swanson, fMRI in Anterior Temporal Epilepsy Surgery (FATES) study. “Temporal Lobe Regions Essential for Reserved Picture Naming after Left Temporal Epilepsy Surgery.” Epilepsia 61, no. 9 (September 2020): 1939–48. https://doi.org/10.1111/epi.16643.

“Brain Map: Temporal Lobes.” Queensland Health. Queensland Government, January 22, 2021. https://www.health.qld.gov.au/abios/asp/btemporal_lobes.

Patel, Anand, Grace Marie Nicole R. Biso, and James B. Fowler. “Neuroanatomy, Temporal Lobe.” In StatPearls. Treasure Island, FL: StatPearls Publishing, 2021. http://www.ncbi.nlm.nih.gov/books/NBK519512/.

Purves, Dale, George J. Augustine, David Fitzpatrick, Lawrence C. Katz, Anthony-Samuel LaMantia, James O. McNamara, and S. Mark Williams. Neuroscience, 2nd ed. Sunderland, MA: Sinauer Associates, 2001. https://www.ncbi.nlm.nih.gov/books/NBK10900/.

Annotate

Next Chapter
Humanizing Brain Tumors: Strategies for You and Your Physician
PreviousNext
Humanizing Brain Tumors
Copyright © 2022
Powered by Manifold Scholarship. Learn more at
Opens in new tab or windowmanifoldapp.org