Skip to main content

Humanizing Brain Tumors: Strategies for You and Your Physician: Humanizing Brain Tumors: Strategies for You and Your Physician

Humanizing Brain Tumors: Strategies for You and Your Physician
Humanizing Brain Tumors: Strategies for You and Your Physician
  • Show the following:

    Annotations
    Resources
  • Adjust appearance:

    Font
    Font style
    Color Scheme
    Light
    Dark
    Annotation contrast
    Low
    High
    Margins
  • Search within:
    • Notifications
    • Privacy
  • Project HomeHumanizing Brain Tumors
  • Projects
  • Learn more about Manifold

Notes

table of contents
  1. Cover Page
  2. Halftitle Page
  3. Title Page
  4. Copyright Page
  5. Dedication
  6. Contents
  7. Preface
  8. Chapter 1: Frontal Lobe: The Man Who Lost the Will to Work
  9. Chapter 2: Left Temporal Lobe: The Man Who Found Creativity
  10. Chapter 3: Right Temporal Lobe: The Woman Who Could Not Quench Her Thirst
  11. Chapter 4: Foramen Magnum and High Cervical Cord: The Woman with Rotating Paralysis
  12. Chapter 5: Brain Stem: The Nurse Who Started Having Double Vision and Headaches
  13. Chapter 6: Cerebellum: The Woman with Pigmented Lesions and Worsening Balance
  14. Chapter 7: Pituitary and Stalk: Visual Loss and Hormonal Alteration in a Young Transgender Woman
  15. Chapter 8: Tumor Afecting Hearing: Trials and Tribulations
  16. Chapter 9: Hypothalamus and Third Ventricle: The Woman Who Lost the Ability to Play Sudoku
  17. Compendium
  18. Glossary
  19. Biographies
  20. Acknowledgements

CHAPTER 9

HYPOTHALAMUS
AND THIRD VENTRICLE

The Woman Who Lost the Ability to Play Sudoku

DANIEL MCGOUGH, MS
CHITRA KUMAR, BA
JONATHAN A. FORBES, MD

The hypothalamus is one of the most fascinating regions of the human body. While it is one of the oldest and smallest regions of the brain (to be exact, the hypothalamus accounts for <1% of the overall mass of the brain), it is responsible for a number of diverse and critical actions. Important functions of the hypothalamus include regulation of energy metabolism and expenditure, fluid and electrolyte balance, sleep-wake cycles, pituitary function, breast feeding, body temperature, and arousal/wakefulness. Anatomically speaking, the hypothalamus is located below the thalamus and is bounded anteriorly by the optic chiasm. It is bordered laterally by the optic tracts and posteriorly by the mammillary bodies. In the coronal plane, the hypothalamus forms the walls of the third ventricle. With this latter relationship in mind, it is possible to understand why tumors occupying the confines of the third ventricle often manifest in hypothalamic dysfunction. Owing to its deep location and the functional eloquence of surrounding neurologic structures, a number of surgical approaches are often considered for removal of tumors involving third ventricle. These include, but are not limited to, the interhemispheric transcallosal, transcortical trans-choroidal fissure, subfrontal trans-lamina terminalis, and expanded endonasal approaches. Given the considerable risks associated with resection of tumors involving the third ventricle, the surgical approach must be meticulously tailored to the pathology at hand.

Tumors of the third ventricle are rare, accounting for between 0.6% and 0.9% of all intracranial tumors.1 In general, tumors in this location can be classified as primary tumors, which arise from the immediate substance of the third ventricle (e.g. choroid plexus papillomas, ependymomas), or secondary tumors (e.g., craniopharyngiomas, optic nerve gliomas, hypothalamic glioma), that secondarily prolapse into the ventricle.2 Chordoid gliomas are a very rare form of intraventricular tumor that sometimes arise in the third ventricle. Most of the known cases of chordoid glioma occur in patients between 25 and 75 years old.3 Individuals with chordoid gliomas can experience headaches, nausea, vomiting, endocrine disturbances, psychotic disorders, and/or visual deterioration.4 In subsequent paragraphs, we discuss the story of Anne,* a 61-year-old woman who noted a progressive worsening of her vision, memory, and cognitive function. An MRI demonstrated a mass that would later be identified as a chordoid glioma in her third ventricle with severe associated inflammation of her hypothalamus and optic tract.

Anne was no stranger to health problems. Years earlier, she had been diagnosed with melanoma, the most serious form of skin cancer, in addition to several basal cell carcinomas. Although the melanoma was treated successfully with surgery, frequent reassessments with her physician team were required to ensure the cancer did not return. Both Anne’s father and brother had been previously diagnosed with lung cancer. As a precaution-ary measure, Anne (herself a former smoker) had enrolled in a lung cancer screening program that annually assessed her risk with surveillance imaging. Anne suffered from a long history of cancer-related anxiety that had adversely affected her quality of life. This anxiety worsened when Anne began to develop new and troubling symptoms.

A lifelong fan of Sudoku, one day Anne noted that she was no longer able to solve puzzles that she would have easily breezed through in the past. In addition to these new issues with cognitive function, her vision and memory seemed also to be getting worse. Soon, other hobbies outside of Sudoku were affected. In seeking to reconcile these new and troubling symptoms, Anne initially tried to blame poor sleep or the normal aging process. Her husband ultimately helped her gather the strength to be evaluated by the doctor.

At the ophthalmologist’s office, Anne described the feeling that objects were “jumping in and out” of her vision. Often, she felt as if she were “looking at the world through pinholes in a piece of cardboard.” Of interest, no gross deficits in Anne’s visual fields could be appreciated—that is, there were no specific areas in either her central or peripheral vision that were substantially worse than the others. Anne’s ophthalmologist felt that her presentation was most consistent with a cataracts—a problem with the lens of the eye that is relatively common in older patients. Anne agreed to the standard surgical treatment for cataracts. After the procedure, however, both she and her doctor were surprised that her visual symptoms had not improved.

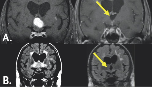
Six months later, Anne’s condition had grown considerably worse. She had begun to suffer from headaches. Her issues with eyesight had continued to worsen. Her short-term memory loss was now severe. Around this time, Anne’s ophthalmologist sent her to a second doctor specializing in neuro-ophthalmology. The neuro-ophthalmologist was very troubled to hear of Anne’s symptoms and ordered magnetic resonance imaging (MRI) of her brain. The MRI revealed a large tumor filling the third ventricle—a cavity immediately behind the optic chiasm and resting in between the hypothalamic centers (Figure 9.1). The tumor was associated with extensive inflammation that was almost certainly the cause of Anne’s visual symptoms and memory loss.

After the discovery of the tumor, Anne’s physician referred her to Dr. Jonathan Forbes, a neurosurgeon specializing in treatment of cranial tumors. Dr. Forbes explained the location of the tumor in relation to important surrounding structures. He described how the extensive tumor-associated inflammation in the adjacent hypothalamus and optic tracts was likely responsible for Anne’s symptoms. Dr. Forbes recommended an initial ventriculoscopic biopsy to determine the type of tumor and whether any non-surgical options for treatment might exist. Anne consented for this biopsy, which was performed without complication. The tumor was identified by the neuropathology team as a chordoid glioma. At brain tumor conference, the risks of conservative management were weighed against the risks of surgical resection. In the setting of progressive deterioration in vision and memory linked to tumor-associated inflammation, surgical resection was recommended.5 Anne discussed the plan of care with Dr. Forbes and agreed to proceed with defnitive resection of the tumor.

(Left) A white blob is highlighted by a yellow arrow in the center of the figure. It is surrounded by gray colored variations contained within a black and dark gray boarder. (Right) A white colored region resembling an 'X' surrounds a black butterfly-looking structure. The bottom right portion is highlighted by a yellow arrow. It is surrounded by light gray coloration which is contained within a black and white boarder.
FIGURE 9.1 Pre-operative MRI. MRI (A) demonstrates a chordoid glioma (yellow arrow) occupying the confines of the third ventricle that appears bright after being injected with contrast. The underlying optic nerves and chiasm are swollen and infamed. MRI (B) shows extensive tissue damage associated with the mass (yellow arrow) that appears as a bright signal.

A minimally invasive, right trans-ventricular, trans-choroidal fissure approach was selected for definitive treatment. In the procedure, Dr. Forbes advanced a small tubular retractor into the ventricular system. The choroidal fissure, or the natural cleft between the fornix and thalamus, was gently opened—providing access to the third ventricle. Under high magnification, the tumor was meticulously removed. Following surgery, MRI demonstrated appropriate resection of the tumor with complete resolution of tumor-associated inflammation in the hypothalamus and optic tracts (Figure 9.2). The physical therapy team helped Anne speed through her recovery. All visual symptoms had resolved within a few days. Anne had noted marked improvement in short-term memory only a few weeks following the surgery. Three months after the surgery, Anne had regained her old form at Sudoku and resumed all of her old hobbies. In the months ahead, Anne would recover the high quality of life she enjoyed prior to the tumor and even find time to crochet a doll for Dr. Forbes and the neuro-surgery team.

(Left top) A white blob is in the center of the figure. It is surrounded by gray colored variations contained within a black and dark gray boarder. (Right top) A yellow arrow points to a dark gray colored blob in the center of the image. It is surround by gray colored variation. (Left bottom) A white colored region resembling an 'X' surrounds a black butterfly-looking structure. It is surrounded by light gray coloration which is contained within a black and white boarder. (Right bottom) A yellow arrow points to a slightly darker gray region than the surrounding light gray coloration. It is surrounded by a black and white outline.
FIGURE 9.2 Post-operative MRI. MRI (A) imaging pre- (left) and post- (right) operatively. The yellow arrow points to the third ventricle after the brightly appearing tumor was removed. The optic apparatus, seen below the third ventricle, has returned to normal size following tumor removal. MRI (B) shows significant improvement in the tissue damage associated with the tumor seen by the bright white signal pre- (left) and post- (right) operatively. The yellow arrow highlights the lack of inflammation in this region after the tumor excision.

ENDNOTES

1. S. Chibbaro et al., “Neuroendoscopic management of posterior third ventricle and pineal region tumors: Technique, limitation, and possible complication avoidance,” Neurosurgical Review 35, no. 3 (2012): 331-340, https://doi.org/10.1007/s10143-011-0370-1.

2. Syed I. Ahmed et al., “Third Ventricular Tumors: A Comprehensive Literature Review,” Cureus 10, no. 10 (October 2018): e3417, https://doi.org/10.7759/cureus.3417

3. Yasuo Sugita et al., “The tumor of the third ventricle,” Neuropathology 30 (2010): 97-100, https://doi.org/10.1111/j.1440-1789.2009.01057.x

4. D. J. Vanhauwaert et al., “Chordoid glioma of the third ventricle,” Acta Neurochirurgica 150, no. 11 (2008): 1183-1191, https://doi.org/10.1007/s00701-008-0014-6.

5. Gregorio Zlotnik and Aaron Vansintjan, “Memory: An Extended Definition,” Frontiers in Psychology 10 (November 2019): 2523. https://doi.org/10.3389/fpsyg.2019.02523.

REFERENCES

Ahmed, Syed I., Gohar Javed, Altaf Ali Laghari, Syeda Beenish Bareeqa, Kashif Aziz, Mehreen Khan, Syeda Sana Samar, Raja Azhar Humera, Alizay Rashid Khan, Muhammad Osama Farooqui, Amir Shahbaz. “Third Ventricular Tumors: A Comprehensive Literature Review.” Cureus 10, no. 10 (October 2018): e3417, https://doi.org/10.7759/cureus.3417

Kuramoto, Kenji Nakayama. “The tumor of the third ventricle.” Neuropathology 30 (2010): 97-100, https://doi.org/10.1111/j.1440-1789.2009.01057.x

Sugita, Yasuo, Koichi Ohshima, Minoru Shigemori, Masahiro Arakawa, Teruaki Chibbaro, S., F. Di Rocco, O. Makiese, A. Reiss, P. Poczos, G. Mirone, F. Servadei, B. George, P. Crafa, M. Polivka, A. Romano. “Neuroendoscopic management of posterior third ventricle and pineal region tumors: Technique, limitation, and possible complication avoidance.” Neurosurgical Review 35, no. 3 (2012): 331-340, https://doi.org/10.1007/s10143-011-0370-1.

Vanhauwaert, D.J., F Clement, J Van Dorpe, M J Deruytter. “Chordoid glioma of the third ventricle.” Acta Neurochirurgica 150, no. 11 (2008): 1183-1191, https://doi.org/10.1007/s00701-008-0014-6.

Zlotnik, Gregorio and Aaron Vansintjan. “Memory: An Extended Definition,” Frontiers in Psychology 10 (November 2019): 2523. https://doi.org/10.3389/fpsyg.2019.02523.

_________

* a pseudonym

Annotate

Next Chapter
Humanizing Brain Tumors: Strategies for You and Your Physician
PreviousNext
Humanizing Brain Tumors
Copyright © 2022
Powered by Manifold Scholarship. Learn more at
Opens in new tab or windowmanifoldapp.org