Skip to main content

Humanizing Brain Tumors: Strategies for You and Your Physician: Humanizing Brain Tumors: Strategies for You and Your Physician

Humanizing Brain Tumors: Strategies for You and Your Physician
Humanizing Brain Tumors: Strategies for You and Your Physician
  • Show the following:

    Annotations
    Resources
  • Adjust appearance:

    Font
    Font style
    Color Scheme
    Light
    Dark
    Annotation contrast
    Low
    High
    Margins
  • Search within:
    • Notifications
    • Privacy
  • Project HomeHumanizing Brain Tumors
  • Projects
  • Learn more about Manifold

Notes

table of contents
  1. Cover Page
  2. Halftitle Page
  3. Title Page
  4. Copyright Page
  5. Dedication
  6. Contents
  7. Preface
  8. Chapter 1: Frontal Lobe: The Man Who Lost the Will to Work
  9. Chapter 2: Left Temporal Lobe: The Man Who Found Creativity
  10. Chapter 3: Right Temporal Lobe: The Woman Who Could Not Quench Her Thirst
  11. Chapter 4: Foramen Magnum and High Cervical Cord: The Woman with Rotating Paralysis
  12. Chapter 5: Brain Stem: The Nurse Who Started Having Double Vision and Headaches
  13. Chapter 6: Cerebellum: The Woman with Pigmented Lesions and Worsening Balance
  14. Chapter 7: Pituitary and Stalk: Visual Loss and Hormonal Alteration in a Young Transgender Woman
  15. Chapter 8: Tumor Afecting Hearing: Trials and Tribulations
  16. Chapter 9: Hypothalamus and Third Ventricle: The Woman Who Lost the Ability to Play Sudoku
  17. Compendium
  18. Glossary
  19. Biographies
  20. Acknowledgements

CHAPTER 5

BRAIN STEM

The Nurse Who Started Having Double Vision
and Headaches

ABIGAIL KOEHLER, BS
ROHAN RAO, BS
YANA TOMASSIAN
ABDELKADER MOHAMMEDI
, MD
SOMA SENGUPTA, MD, PHD, FRCP

Regardless of location, many glioblastoma multiforme (GBM) patients experience painful side effects, such as headaches, due to increased pressure caused by the tumor mass.1,2 Seizures are also common in GBM patients and are thought to be instigated by edema and neuroinflammation associated with expanding tumor.3

The left hemisphere of the brain contains many key areas associated with speech and motor movement. The major language centers within the left hemisphere include Broca’s and Wernicke’s areas. Broca’s area is the premotor area for the coordination and production of speech, whereas Wernicke’s area is connected with language comprehension. Aphasic symptoms, or the inability to create or understand speech, are typically caused by disruptions in the left hemisphere, as the major language processing centers are in this area. In addition to language and speech issues, motor issues can occur with insult to the motor cortex within the brain.

For most voluntary movement, the brain uses a two-neuron pathway that starts at the motor cortex and concludes at a target muscle to produce a given movement. The motor cortex in the left hemisphere is responsible for right-side movement, whereas the motor cortex in the right hemisphere is responsible for left-side movement. The brainstem also plays an important role in motor movement, as its primary role includes regulating balance and relaying motor movements to the rest of the body, among other things.4

This is the story of Beth, a young mother and pediatric oncology nurse who bravely battled a left cerebral GBM which ultimately metastasized to the brainstem.

Beth had a belated Christmas gathering with her beloved family over Martin Luther King, Jr. weekend in 2019. Beth was unusually quiet that weekend and had complained of severe headaches. Her primary care appointment was scheduled a few days later on January 23rd. At the appointment, her doctor scheduled her to see a neurologist the following week due to her excruciating headaches. As she drove home from the doctor, she had to stop the car multiple times to vomit. Upon hearing this, Beth’s husband convinced her to let him take her to the emergency room (ER). In the emergency room, they did a computerized tomography (CT) scan and found a large tumor in the left hemisphere of her brain (Fig. 5.1). She was admitted to the hospital as the tumor would require surgery.

While Beth was admitted into the hospital, she had to wait until early the following week for surgery so that she could be medically stabilized. She had several visitors and spent time with her friends catching up and laughing together. One evening while she slept, she had her first seizure, which was notably long. Seizures were not a symptom Beth was anticipating, so it was incredibly scary for her and her family. After this seizure, she experienced aphasia, and she struggled to communicate with loved ones going forward.

Beth had a successful debulking surgery for her tumor. According to her surgeon, they were able to remove about 90% of the tumor, and it was sent for a biopsy to diagnose the type of cancer. The surgeon shared that it looked like a high-grade astrocytoma, but Beth’s family stayed hopeful as Beth was young, active, and healthy. She was taken to the intensive care unit (ICU) while she recovered from surgery. The first day after surgery went well and she appeared to be making progress, but she fainted on the second day which extended her time in the ICU by few days. They hooked her up to the electroencephalogram (EEG) machine in the ICU to monitor after she fainted and seizures were detected. On day three, she was taken off the EEG when she had no signs of seizure activity. She was able to use her phone and read some messages, but the aphasia impacted her ability to write words and she was unable to respond. Beth felt frustrated because she was not able to speak or write what she wanted to communicate. Beth was discharged from the hospital on day four. At this point, only her speech was impacted by the tumor, so she was able to walk into her home and pick up her 13-month-old son, Sam. Both her son and her golden retriever, Spud, were extremely excited to have their mom home. She was doing well, both physically and emotionally, and was more worried about her parents and sisters than herself. This was typical of Beth, as she had been a bone marrow transplant nurse for children—she always put others before herself.

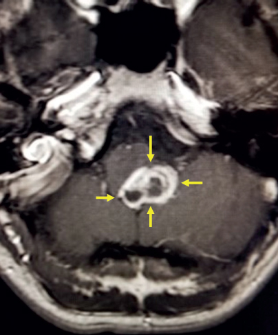
A white colored blob is shown the center of the image. It is highlighted by four yellow arrows on each side. There are two dark gray circular structures beneath the white blob. Additional structures are shown with a very light gray outline surrounding them.
FIGURE 5.1 An MRI of glioblastoma multiforme. Axial post-contrast image demonstrates irregularly enhancing mass in the posterior aspect of the left pons extending to the fourth ventricle that appears bright after being injected with IV contrast (yellow arrows).

Beth started out-patient occupational therapy (OT) and speech therapy. Beth’s aphasia continued to be a problem. Her initial speech therapy sessions were difficult as she became frustrated quickly when she could not come up with words. However, she continued to be positive and quickly learned ways to communicate when she could not come up with the words she wanted. Throughout Beth’s journey, it was difficult for her husband to see people change how they communicated with her.

Following a confirmed diagnosis for GBM, Beth went on to see a neuro-oncologist, Dr. Soma Sengupta. Her diagnosis was very hard for Beth and her family to hear. However, Beth worked very hard to manage her aphasia, and she wrote the following message, “I’m thankful, but I’m worried too. I don’t know what the future holds, but I know I love each of you.” The plan was to start chemotherapy and radiation once the craniotomy scar had healed. However, Beth experienced a generalized tonic-clonic seizure and ended up back in the emergency room. While in the ER, she had another seizure on the way to get a CT scan, and she was admitted to the hospital. After she was held for observation for the day, they determined the seizures were caused by inflammation in her brain. Beth’s steroid dosage and anti-seizure medication were increased, and she was released from the hospital later that day. However, after discharge, Beth had five focal or absence seizures. Her epileptologist increased the doses of her anti-seizure medication. This was a scary time for Beth, but she continued to be strong and enjoyed being with her family.

Beth had an appointment with her radiation oncology team later that week, but when she went home, her headaches worsened and her strong pain medication did not help, so she was taken to the ER again. She had a CT scan in the ER, and they found that her tumor had been bleeding which was causing pressure on her brain. While she was having the CT scan, Beth appeared to have a seizure and was not responsive. She was admitted into the ICU so that they could closely monitor her and do additional tests. Beth remained in the ICU and received the results of the magnetic resonance image (MRI) she had during the previous week. This showed that the tumor had almost fully grown back after her surgery, only 23 days before the imaging was taken. Beth was scheduled to start radiation and chemotherapy, but her care plan would have to be changed. The new plan was for Beth to have another surgery to debulk the tumor and “reset the clock”.

Beth stayed in the ICU for observation ahead of the planned surgery. She had a few good days in the ICU, and she became more and more lucid as the week progressed. She was able to get out of bed a few times. Beth then had another successful surgery to debulk the tumor, just 31 days after her first surgery. They were able to remove a significant portion of the new growth, as well as a blood clot. Beth was moved back to the ICU after surgery to recover. She started to exhibit weakness on her right side after the second surgery and began working with the physical therapist to combat this. Her aphasia continued to worsen, and she continued to struggle to communicate. The plan was for her to be released to a rehabilitation hospital to begin radiation and chemotherapy. Unfortunately, she had a large, generalized tonic-clonic seizure that lasted over five minutes and was transferred back to the ICU. The large seizures seemed to knock out all her strength on her right side and she never regained much use or strength in her right arm and leg. During these challenging times, she continued to smile when she could and maintained a brave face for her parents, sisters, and friends.

Beth remained in the ICU and started chemoradiation as planned. Her friends, sisters, and co-workers decorated her radiation mask and painted it her favorite shade of blue, which made Beth smile when she saw it. Beth was also joyful when her son, Sam, was allowed to visit her in the ICU. He sat in the bed and just stared at her, smiling. She worked with physical and occupational therapy several times, but she was no longer strong enough on her right side to go to the rehabilitation hospital. She opted to have in-home rehabilitation.

The rest of the week and the following week went well with Beth continuing radiation and chemotherapy and enjoying being home. Spud, her dog, cuddled with her as often as possible, and Sam was thrilled to see his mom every day. Beth’s mom moved in on the weekdays which allowed their family to get back into a routine. Beth’s right-side weakness made it impossible for her to get around on her own and she was dependent on her husband to move her. The fatigue from radiation and getting in and out of the van each day were evident, but she remained positive.

Upon completing radiation, Beth rang the bell in her doctor’s office, signifying she was done, with a huge smile on her face. Her radiation oncology team let her take home the mask that her friends decorated. Beth had her follow up with Dr. Sengupta to go over the chemotherapy plan, which included starting with Temodar five days on and then 23 days off. Beth and her husband asked about the fluid build-up they had noted, and she was instructed to discuss her concerns with her neuro-surgeon. She received the results from her latest MRI which showed the tumor was consistent with the imaging after her latest surgery. She soon began chemotherapy. While at a follow-up with her neuro-oncologist, Beth had a focal seizure and went straight to the emergency room. The ER discovered that she had a urinary tract infection (UTI), and she was given antibiotics. The infection was also expected to be the cause of the seizures.

The swelling in her brain, also called hydrocephalus, continued to grow, and it became very painful for Beth. She underwent a third surgery to have a shunt placed to drain the hydrocephalus to her stomach.

Following her recovery from surgery, Beth had energy and was able to communicate better than she had been able to for a long time. She was happy and spent as much time as possible watching Sam play. She was even able to attend a church service, which she seemed to enjoy as she had not been able to get out of the house since she lost her strength on her right side. After continuous therapy, Beth was able to stand up for the first time since her second surgery. This made her friends and family extremely happy to see.

(Left) The left side profile of a woman with brown hair is translucent. There is a pink brain inside her head with expanding blue colored areas. (Right) A woman and a child are lying against pillows in bed under a purple blanket. She is wearing a dark pink beanie, a navy top, and a pink rob. The child is snuggled against her right side. A golden retriever dog is lying on top of the blanket on the woman.
FIGURE 5.2 Beth had a glioblastoma multiforme (GBM) tumor in the left hemisphere of her brain that caused a buildup of fluid. Though she battled difficult side effects from her tumor, including pain from the swelling, she found comfort in spending time with her family, including her son, Sam, and her golden retriever, Spud.

Beth had an appointment with Optune® and started using their product. She also had a follow-up appointment with the radiation oncologist to go over the results of the MRI. The original tumor site was consistent, but there was a new spot in her brain stem that they were concerned with although they were not certain it was a new tumor. Her aphasia started becoming more of an issue and her strength was also starting to decrease noticeably. Beth’s symptoms continued to worsen, and her appetite decreased as the week progressed. She started experiencing a lot of confusion as well. She ripped off the Optune® device multiple times throughout the week and did not seem to understand what it was. She was increasingly exhausted and slept more and more.

Beth became nauseous and was transported via ambulance to the emergency room. She had a very bad seizure that lasted around 10 minutes that night. She was not able to communicate verbally again after that and was mostly unresponsive. She had an MRI early the following morning which showed the spot on her brain stem was a tumor and had grown tremendously since the last MRI 15 days before. Based on the size, location, and aggressiveness of the new tumor, as well as Beth’s deteriorating condition, her husband decided to discontinue treatment and start hospice care at home.

Beth was able to open her eyes to see her son and answer a follow-up phone call from her neuro-oncologist. She was able to communicate occasionally by squeezing with her left hand but was not able to open her eyes or speak again. It was the night of GBM Awareness Day, sponsored by the National Brain Tumor Society, in Washington, D.C. (July 20th) that Beth took her last breath. She was surrounded by her loved ones in her home. Beth was a truly incredible woman. She fought an unfair battle as hard as she could and did so with a smile on her face. Beth loved everyone she met and touched so many lives. Her husband later read in her blog from the time she spent in Uganda that she “had the honor curse of ushering several babies into heaven” during her time as a pediatric oncology nurse. Her husband believes that they were there waiting for her with open arms.

ENDNOTES

1. Dongyou Liu, Tumors and Cancers: Central and Peripheral Nervous Systems (Boca Raton, FL: CRC Press, 2018), https://doi.org/10.1201/9781315120522.

2. Robert Grant, “Overview: Brain Tumour Diagnosis and Management/Royal College of Physician Guidelines,” Journal of Neurology, Neurosurgery, and Psychiatry 75, no. Suppl II (June 2004): 18–23. https://doi.org/10.1136/jnnp.2004.040360.

3. O. Prakash et al., “Gliomas and Seizures,” Medical Hypotheses 79, no. 5 (November 2012): 622–26. https://doi.org/10.1016/j.mehy.2012.07.037.

4. Joel D. Swartz et al., “Balance and Equilibrium, II: The Retrovestibular Neural Pathway,” American Journal of Neuroradiology 17, no. 6 (June 1996): 1187–90.

REFERENCES

Liu, Dongyou. Tumors and Cancers: Central and Peripheral Nervous Systems. Boca Raton, FL: CRC Press, 2018. https://doi.org/10.1201/9781315120522.

Grant, Robert. “Overview: Brain Tumour Diagnosis and Management/Royal College of Physician Guidelines.” Journal of Neurology, Neurosurgery, and Psychiatry 75, no. Suppl 2 (June 2004): 18–23. https://doi.org/10.1136/jnnp.2004.040360.

Prakash, O., W.J. Lukiw, F. Peruzzi, K. Reiss, and A.E. Musto. “Gliomas and Seizures.” Medical Hypotheses 79, no. 5 (November 2012): 622–26. https://doi.org/10.1016/j.mehy.2012.07.037.

Swartz, Joel D., David L. Daniels, H. Ric Harnsberger, John L. Ulmer, Steven Harvey, Katherine A. Shaffer, and Leighton Mark. “Balance and Equilibrium, II: The Retrovestibular Neural Pathway.” American Journal of Neuroradiology 17, no. 6 (June 1996): 1187–90. http://www.ajnr.org/content/ajnr/17/6/1187.full.pdf.

Annotate

Next Chapter
Humanizing Brain Tumors: Strategies for You and Your Physician
PreviousNext
Humanizing Brain Tumors
Copyright © 2022
Powered by Manifold Scholarship. Learn more at
Opens in new tab or windowmanifoldapp.org