Skip to main content

Humanizing Brain Tumors: Strategies for You and Your Physician: Humanizing Brain Tumors: Strategies for You and Your Physician

Humanizing Brain Tumors: Strategies for You and Your Physician
Humanizing Brain Tumors: Strategies for You and Your Physician
  • Show the following:

    Annotations
    Resources
  • Adjust appearance:

    Font
    Font style
    Color Scheme
    Light
    Dark
    Annotation contrast
    Low
    High
    Margins
  • Search within:
    • Notifications
    • Privacy
  • Project HomeHumanizing Brain Tumors
  • Projects
  • Learn more about Manifold

Notes

table of contents
  1. Cover Page
  2. Halftitle Page
  3. Title Page
  4. Copyright Page
  5. Dedication
  6. Contents
  7. Preface
  8. Chapter 1: Frontal Lobe: The Man Who Lost the Will to Work
  9. Chapter 2: Left Temporal Lobe: The Man Who Found Creativity
  10. Chapter 3: Right Temporal Lobe: The Woman Who Could Not Quench Her Thirst
  11. Chapter 4: Foramen Magnum and High Cervical Cord: The Woman with Rotating Paralysis
  12. Chapter 5: Brain Stem: The Nurse Who Started Having Double Vision and Headaches
  13. Chapter 6: Cerebellum: The Woman with Pigmented Lesions and Worsening Balance
  14. Chapter 7: Pituitary and Stalk: Visual Loss and Hormonal Alteration in a Young Transgender Woman
  15. Chapter 8: Tumor Afecting Hearing: Trials and Tribulations
  16. Chapter 9: Hypothalamus and Third Ventricle: The Woman Who Lost the Ability to Play Sudoku
  17. Compendium
  18. Glossary
  19. Biographies
  20. Acknowledgements

CHAPTER 6

CEREBELLUM

The Woman with Pigmented Lesions
and Worsening Balance

SHUSHMA GUDLA, BS
BRENDAN WILSON, PA-C
DANIEL MCGOUGH, MS
JONATHAN A. FORBES, MD

Neurofbromatosis type 1 (NF1) is the most common single gene disorder in humans, occurring in about 1 in 3,000 births worldwide. Patients who suffer from NF1 harbor a mutation in neurofibromin, a particularly large gene located on the long arm of chromosome 17. NF1 is one of the five phakomatoses, or rare genetic syndromes that involve structures of the embryonic ectoderm—including the skin and nervous system. Common manifestations of NF1 include brownish spots in the iris known as Lisch nodules, predominantly benign nerve sheath tumors known as neurofibromas often found as rubbery masses in the skin, freckling of the axillary or inguinal regions, and/or numerous flat, pigmented lesions of the skin called caffé au lait (meaning “cofee with milk”) spots. Of particular importance, individuals affected with NF1 have much higher rates of cancer and cardiovascular disease than the general population, including a predisposition to develop glial tumors of the central nervous system (CNS). The cerebellum is one such structure in the CNS that can be affected.

The cerebellum serves to coordinate voluntary movements and balance.1 It receives signals that relay the position of the body and extremities in space and helps to integrate these signals with ongoing movement—facilitating smooth and controlled motor activity.2 Generally speaking, the cerebellum can be divided into three functional regions. The central portion, or vermis, works with the flocculonodular lobe in coordination of vestibulo-ocular reflexes and regulation of muscles of the neck and trunk. Lesions involving either of these areas can result in uncoordinated movement of the head and trunk, problems with coordination of eye movements, and/or a type of gait instability known as truncal ataxia.3 The region lateral to the vermis, also known as the intermediate zone of the cerebellar hemisphere, helps to regulate position sense and coordinate movements of the extremities. Lesions in this area can result in a phenomenon known as dysmetria, where individuals “undershoot” or “overshoot” the intended position with the affected upper or lower extremity. Lesions of the intermediate zone of the cerebellum can also result in imbalance, often manifesting in affected individuals as falling towards the side of the lesion—as was the case with our patient Jane,* whose story we will discuss.4 The most lateral portion of the cerebellum assists in the planning of sequential movements and conscious assessment of movement errors.5 Unilateral lesions of the lateral cerebellum tend to be less symptomatic than lesions in the vermis or intermediate cerebellum.

Jane was 37 years old when she first noticed problems with coordination involving the left side of her body. In particular, she first noted problems with dexterity of her left arm while playing fetch with her dogs one summer day. As these symptoms seemed to worsen with time, Jane felt her balance might also be affected. In the subsequent month, she began to suffer from headaches that seemed to be worse in the early morning hours—prompting a visit with her physician. In her doctor’s office, she had difficulty touching her nose and then touching her physician’s finger with her left hand—consistent with dysmetria of the left upper extremity. Other abnormalities were noted when Jane was tested with tandem gait assessment. Aware of Jane’s complex past medical history, her physician promptly ordered an MRI of the brain.

Jane had been diagnosed with NF1 at an early age after her pediatrician identified a number of skin findings, including café au lait spots. During these early visits, Jane’s pediatrician had also noted she had trouble seeing out of her left eye. Imaging of the brain at this time demonstrated a tumor on Jane’s optic nerve called an optic glioma, known to be found with increased frequency in patients with NF1. Jane recalls having eye surgery at a young age and wearing an eye patch for a few weeks. During high school, she was found to have scoliosis of the spine—also related to her history of NF1. She went on to graduate from college and found a job as an elementary school teacher. After marriage, Jane decided against having kids out of fear of passing on her genetic mutation. She had been well until that summer day playing fetch with her dogs.

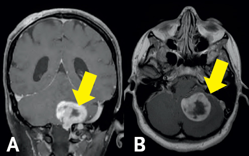
(Left) Gray colored variations are surrounded by a black and white outline. In the bottom right of the figure, there is a white blob highlighted by a yellow arrow. This blob is at the top base of a vertical dark gray column at the bottom of the image. (Right) Two dark gray spheres are conjoined at the bottom of the image. A white blob sits above the right sphere with a yellow arrow pointing towards the blob. Above the spheres are gray colored structures. All structures are enclosed by a white boarder.
FIGURE 6.1 MRI of a Glioblastoma Multiforme. Pre-operative coronal (A) and sagittal (B) MRI demonstrates a mass with central cystic areas (yellow arrows) in the left cerebellar hemisphere.

The MRI ordered by her physician demonstrated an enhancing lesion involving the intermediate zone of the left cerebellar hemisphere—suspicious for a type of malignant tumor of the brain known as a glioblastoma multiforme (GBM) (Figure 6.1).

Jane was referred to Dr. Jonathan Forbes, a neurosurgeon specializing in tumors of the brain and cranial base, for further evaluation. Dr. Forbes discussed the differential diagnosis. Radiographically, the tumor appeared to be most consistent with glioblastoma a type of brain cancer—although GBMs were known to be uncommonly found in the cerebellum.6 Specifically, the tumor was located in the inferior aspect of the left cerebellar hemisphere, directly abutting the cerebellomedullary fissure. Jane’s c ase was presented at brain tumor conference, where surgery was recommended. The risks, benefits, and expectations associated with the surgery were discussed in great detail. Jane agreed to proceed with surgery. In the surgery, Dr. Forbes removed a circle of bone overlying the cerebellum to gain access to the tumor. The boney removal was extended to the foramen magnum. Using neuro-monitoring and navigation, the tumor was meticulously dissected from the posterior inferior cerebellar artery and cranial nerves 9, 10, and 11 under high magnification. The tumor was removed without complication. Jane did well following the surgery and was sent home three days after her operation. Her immediate post-operative MRI demonstrated complete resection of the tumor without untoward finding. After the pathology returned consistent with a GBM, Jane required treatment with radiation and multiple cycles of chemotherapy. A few weeks following surgery, all of her presenting symptoms were noted to have been resolved.

The prognosis for GBM is generally poor—the median survival is roughly 12 months after diagnosis.7 Incredibly, Jane has continued to defy all odds following the surgery. Her most recent MRI, now three and half years following the procedure, continues to demonstrate no evidence of any residual or recurrent tumor (Figure 6.2). As a cancer survivor, Jane continues in her courageous battle against NF1. Her determination in the face of adversity remains a source of inspiration for her friends, family members, and providers.

(Left) Gray colored variations are enclosed by a white outline. There is a dark gray column at the bottom of the image in the middle connecting the gray area to the bottom of the image. (Right) Gray and white colorations are depicting normal brain structures; all are surrounded by a white boarder.
FIGURE 6.2 Two-year Follow-up MRI. Post-operative coronal (A) and sagittal (B) MRI continues to demonstrate no evidence of tumor recurrence following her original gross total resection.

ENDNOTES

1. Ahmad Faleh Tamimi and Malik Juweid, “Epidemiology and Outcome of Glioblastoma,” in Glioblastoma, ed. Steven De Vleeschouwer (Brisbane, Australia: Codon Publications, 2017), 143-153.

2. S. Jimsheleishvili and M. Dididze, “Neuroanatomy, Cerebellum,” in StatPearls (Treasure Island, FL: StatPearls Publishing, 2021).

3. Ibid.

4. James A. Nelson and Erik Viirre, “The clinical differentiation of cerebellar infarction from common vertigo syndromes,” The Western Journal of Emergency Medicine 10, 4 (2009): 273-7.

5. Ibid.

6. Ahmad Faleh Tamimi and Malik Juweid, “Epidemiology and Outcome of Glioblastoma,” in Glioblastoma, ed. Steven De Vleeschouwer (Brisbane, Australia: Codon Publications, 2017), 143-153.

7. Monika E. Hegi et al., “MGMT Gene Silencing and Benefit from Temozolomide in Glioblastoma,” New England Journal of Medicine 352, no. 10 (March 2005): 1000, https://doi.org/10.1056/nejmoa043331.

REFERENCES

Hegi, Monika E., Annie-Claire Diserens, Thierry Gorlia, Marie-France Hamou, Nicolas de Tribolet, Michael Weller, Johan M. Kros, Johannes A. Hainfellner, Warren Mason, Luigi Mariani, Jacoline E.C. Bromberg, Peter Hau, René O. Mirimanoff, J. Gregory Cairncross, Robert C. Janzer, and Roger Stupp. “MGMT Gene Silencing and Benefit from Temozolomide in Glioblastoma.” New England Journal of Medicine 352, no. 10 (March 2005): 1000, https://doi.org/10.1056/nejmoa043331.

Jimsheleishvili, S. and M. Dididze, “Neuroanatomy, Cerebellum.” In StatPearls. Treasure Island, FL: StatPearls Publishing, 2021.

Nelson, James A. and Erik Viirre, “The clinical differentiation of cerebellar infarction from common vertigo syndromes.” The Western Journal of Emergency Medicine 10, 4 (2009): 273-7.

Tamimi, Ahmad Faleh and Malik Juweid. “Epidemiology and Outcome of Glioblastoma.” In Glioblastoma, ed. Steven De Vleeschouwer. Brisbane, Australia: Codon Publications, 2017), 143-153.

_________

* a pseudonym

Annotate

Next Chapter
Humanizing Brain Tumors: Strategies for You and Your Physician
PreviousNext
Humanizing Brain Tumors
Copyright © 2022
Powered by Manifold Scholarship. Learn more at
Opens in new tab or windowmanifoldapp.org